×
Акции
Сервис
  • Ремонт УЗИ аппаратов
  • Ремонт мониторов пациента
  • Ремонт наркозных аппаратов
  • Ремонт ИВЛ аппаратов
  • Ремонт дефибрилляторов
  • Ремонт УЗИ датчиков
  • Ремонт операционных ламп (хирургических светильников)
  • Ремонт эндоскопического оборудования
  • Ремонт операционных столов
  • Ремонт компьютерных томографов
  • Ремонт рентген оборудования
  • Ремонт МРТ аппаратов
  • Ремонт маммографов
Обучение
Кейсы
Статьи
Комплексное оснащение
Компания
  • О компании
  • Новости
  • Отзывы
  • Карьера
  • Лицензии
  • Реквизиты
Контакты
    +7 (499) 495-48-21
    +7 (499) 495-48-21
    E-mail
    info@medford.ru
    Адрес
    • г. Москва, Ленинский пр-т, д.146
    • г. Екатеринбург ул. Малышева 51, офис 1907
    • г. Махачкала проспект Имама Шамиля 34г
    Режим работы
    Пн - Пт: с 9:00 до 19:00
    Медфорд
    От поставки до бесперебойной 
    работы медтехники
    iLivTouch
    Аппарат для эластографии печени
    iLivTouch
    Philips
    • Ультразвуковая диагностика
      Ультразвуковая диагностика
      • УЗИ аппараты
      • Датчики для УЗИ      
        • Конвексные датчики УЗИ
        • Линейные датчики УЗИ
        • Внутриполостные датчики УЗИ
        • Микроконвексные датчики УЗИ
        • Секторные фазированные датчики УЗИ
        • Карандашные УЗИ датчики
        • Чреспищеводные датчики УЗИ
      • Тележки для УЗИ
      • Принтеры для УЗИ
      • Источники бесперебойного питания
    • Гибкая эндоскопия
      Гибкая эндоскопия
      • Видеоэндоскопические системы
      • Эндоскопы      
        • Колоноскопы
        • Гистероскопы
        • Цистоскопы
        • Гастроскопы
        • Бронхоскопы
        • Энтероскопы
        • Уретроскопы
        • Дуоденоскопы
        • Холедохоскопы
        • Сигмоидоскопы
        • Риноларингоскопы
      • Видеопроцессоры
      • Мониторы эндоскопические
      • Источники света
      • Мойки для эндоскопов
      • Эндоскопические смотровые столы
      • Тележки эндоскопические
    • Жесткая эндоскопия
      Жесткая эндоскопия
      • Эндоскопические стойки
      • Мониторы для жесткой эндоскопии
      • Помпы для эндоскопических операций
      • Аспираторы-ирригаторы
      • Осветители эндоскопические
      • Видеопроцессоры для жесткой эндоскопии
      • Электрохирургические блоки для эндоскопии
      • Инсуффляторы
      • Лапароскопы
    • Лучевая диагностика
      Лучевая диагностика
      • Рентгеновские аппараты
      • Портативные рентген аппараты
      • Рентген аппараты типа С-дуга
      • Аппараты КТ
      • Маммографы
      • Ангиографы
      • Флюорографы
      • Денситометры
      • Дополнительное рентген оборудование      
        • Негатоскопы
        • Детекторы
        • Дозиметры радиации
        • Рентгеновская плёнка
        • Оцифровщики рентгеновских снимков
        • Рентгенопрозрачные столы
        • Проявочные машины для рентгеновских плёнок
        • Рентгенозащитные окна
        • Системы компьютерной радиографии
        • Мониторы для рентгенографии
        • Инжекторы для ангиографов
        • Инжекторы для КТ аппаратов
        • Термопринтеры рентгеновских снимков
    • Анестезиология и реанимация
      Анестезиология и реанимация
      • Наркозно-дыхательные аппараты
      • Аппараты ИВЛ
      • Мониторы пациента
      • Дефибрилляторы
      • Инфузионные насосы
      • Инкубаторы для новорождённых
      • Концентраторы кислорода
      • Дополнительное оборудование      
        • Компрессоры для НДА
        • Компрессоры для ИВЛ аппаратов
        • Испарители анестетиков
        • Небулайзеры для ИВЛ аппаратов
    • Хирургическое оборудование
      Хирургическое оборудование
      • Операционные столы
      • Отсасыватели хирургические
      • Операционные микроскопы
      • Светильники хирургические
      • Консоли хирургические
      • Аппараты электрохирургические
      • Эвакуаторы дыма
      • Лазеры хирургические
      • Ультразвуковые хирургические аппараты
    • ЛОР оборудование
      ЛОР оборудование
      • ЛОР-комбайны
      • ЛОР-кресла
      • Эндоскопы для оториноларингологии
      • ЛОР-видеосистемы
      • Аппараты ЭХВЧ для ЛОР
      • Дополнительное ЛОР оборудование      
        • Эхосинускопы
        • ЛОР микроскопы
        • ИК излучатели
        • УЗ ЛОР аппараты
        • ЛОР аспираторы
        • ЛОР ирригаторы
        • Налобные осветители
        • Массажеры
        • Ларингостробоскопы
        • ЛОР небулайзеры
        • Системы для исследования вестибулярного аппарата
        • Футляры для стерилизации
    • Магнитно-резонансная томография
      Магнитно-резонансная томография
      • Аппараты МРТ
      • Катушки для МРТ
      • Допоборудование для МРТ      
        • ИБП для МРТ аппаратов
        • Серверы хранения данных для МРТ аппаратов
        • Инжекторы для МРТ аппаратов
        • Мониторы пациента для МРТ
        • Программное обеспечение для МРТ аппаратов
    • Гинекологическое оборудование
      Гинекологическое оборудование
      • Кольпоскопы
      • Гинекологические кресла
      • Отсасыватели гинекологические
      • Гинекологические светильники
      • Гинекологические столы
      • Акушерские кровати
      • Фетальные мониторы
      • Гинекологические комбайны
      • Аппараты ЭХВЧ для гинекологии
      • Хирургические УЗ-аппараты
    • Ветеринарное оборудование
      Ветеринарное оборудование
      • Ветеринарные УЗИ аппараты      
        • Ветеринарные УЗИ датчики
      • Ветеринарная анестезиология и реанимация      
        • Наркозно-дыхательные аппараты ветеринарные
        • Ветеринарная инфузионная техника
        • Ветеринарные мониторы пациента
      • Ветеринарная лучевая диагностика      
        • Ветеринарные компьютерные томографы
        • Рентген аппараты для ветеринарии
      • Лабораторное оборудование для ветеринарии
      • Хирургическое оборудование для ветеринарии
      • Ветеринарные МРТ аппараты
      • Ветеринарная эндоскопия
    Каталог
    По всему сайту
    По каталогу
    Войти
    0 Сравнение
    0 Избранное
    0 Корзина
    УЗИ аппараты НДА ИВЛ Жесткая эндоскопия Гибкая эндоскопия Хирургическое оборудование Бренды
    iLivTouch Medford VET
    Медфорд
    Каталог
    По всему сайту
    По каталогу
    Войти
    0 Сравнение
    0 Избранное
    0 Корзина
    Медфорд
    Телефоны
    +7 (499) 495-48-21
    E-mail
    info@medford.ru
    Адрес
    • г. Москва, Ленинский пр-т, д.146
    • г. Екатеринбург ул. Малышева 51, офис 1907
    • г. Махачкала проспект Имама Шамиля 34г
    Режим работы
    Пн - Пт: с 9:00 до 19:00
    0
    0
    0
    • Кабинет
    • 0 Сравнение
    • 0 Избранное
    • 0 Корзина
    • Бренды
    • Акции
    • Сервис
      • Сервис
      • Ремонт УЗИ аппаратов
      • Ремонт мониторов пациента
      • Ремонт наркозных аппаратов
      • Ремонт ИВЛ аппаратов
      • Ремонт дефибрилляторов
      • Ремонт УЗИ датчиков
      • Ремонт операционных ламп (хирургических светильников)
      • Ремонт эндоскопического оборудования
      • Ремонт операционных столов
      • Ремонт компьютерных томографов
      • Ремонт рентген оборудования
      • Ремонт МРТ аппаратов
      • Ремонт маммографов
    • Компания
      • Компания
      • О компании
      • Новости
      • Отзывы
      • Карьера
      • Лицензии
      • Реквизиты
    • Статьи
    • Информация
      • Информация
      • Кейсы
      • Статьи
      • Новости
      • Отзывы
    • Контакты
    +7 (499) 495-48-21
    • Телефоны
    • +7 (499) 495-48-21
    • info@medford.ru
      • г. Москва, Ленинский пр-т, д.146
      • г. Екатеринбург ул. Малышева 51, офис 1907
      • г. Махачкала проспект Имама Шамиля 34г
    • Пн - Пт: с 9:00 до 19:00
    Главная
    Опции
    Основные режимы работы аппаратов ультразвуковой диагностики (М, B, В, PW, CW)

    Основные режимы работы аппаратов ультразвуковой диагностики (М, B, В, PW, CW)

    Основные режимы работы аппаратов ультразвуковой диагностики (М, B, В, PW, CW)
    Опции
    Режимы сканирования УЗИсистем определяют их класс (начальный, средний, высокий, экспертный), диагностические возможности и качество визуализации, а также влияют на стоимость оборудования и область применения. Выделяют базовые режимы, которые по умолчанию присутствуют во всех современных УЗИ аппаратах, и большое количество дополнительных.

    Значимость различных режимов сканирования для диагностики

    Исходя из целей использования УЗИ оборудование подразделяется на аппараты общего и специального назначения, универсальные аппараты. Соответственно, режимы представления данных в них также будут различаться.

    Понимание принципов формирования изображения в каждом режиме поможет врачу-сонографисту избежать механического, бездумного использования прибора и более грамотно подходить к процессу исследования. Клиницисту знание особенностей режимов узи необходимо для определения рациональной диагностической тактики. Специалистам по закупкам медицинского оборудования эта информация поможет подобрать аппарат, наиболее соответствующий потребностям медицинского учреждения.

    Основные режимы работы УЗИ аппаратов

               К ним относятся:

    1.    А-режим («amplitude mode»). В ходе исследования отраженные эхо-сигналы отображаются в виде серий амплитудных пиков вдоль горизонтальной оси, образуя осциллограмму. Это позволяет рассчитать расстояние между различными анатомическими образованиями. Данный формат сканирования считается базовым и предусмотрен во всех современных УЗИ аппаратах.

    10.jpg

    На сегодняшний день А-скан используется редко, наибольшее применение методика нашла в офтальмологии для проведения эхобиометрии глаза. С этой целью применяются высокочастотные датчики 10-20 МГц и выше.

    2.    В-режим.

    3.    М-режим.

    4.    D-режим (допплерография). Выделяют варианты допплера:

    ·      импульсно-волновой (Pulsed Wave Doppler, PW);

    ·      постоянно-волновой (Continuous Wave Doppler, CW);

    ·      энергетический (Power Doppler, PD);

    ·      цветовой (Colour Flow Doppler Imaging, CFI);

    ·      тканевый (Tissue Doppler, TD).

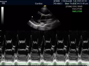
    М-режим (отраженный импульсный режим)

               M-mode («motion» — движение) — одномерная регистрация отраженного эхосигнала, применяющаяся в кардиологии для изучения сократительной способности миокарда, клапанного аппарата, оценки изменения размеров полостей в систолическую и диастолическую фазы.

    В данном режиме оператор сканирует кардиальные структуры только вдоль одной оси. Информация о сигналах с различных глубин изображается в виде отметок различной яркости вдоль вертикальной линии на дисплее. Следующему зондированию соответствует другая линия, расположенная правее предыдущей. В ходе перемещения столбца с каждым новым сканированием записывается двухмерная М-эхограмма.

    Существует несколько типов М-режима:

    ·      M-mode (стандартный): предполагает получение одномерного изображения;

    9.jpg

    ·      Color M-mode (цветной): сочетает стандартный режим и цветовое допплеровское картирование;

    11.jpg

    ·      Free-angle M-mode (анатомический): позволяет произвольно выставлять направление зондирования и визуализировать кардиальные структуры под различным углом.

    12.jpg

    При неправильном расположении курсора все параметры могут быть завышены, что приведет к неправильной интерпретации полученных данных. Поэтому диагностика в М-режиме требует строгого соблюдения правильной позиции сканирования.

    Классический М-режим имеется во всех современных ИЗИ аппаратах, анатомический режим представлен в устройствах более высокого класса. Специальные датчики для обследования в М-режиме не применяются, регистрация М-эхограмм осуществляется датчиками для В-сканирования.

    В-режим

    Подавляющее большинство сканирований производится на аппаратуре, функционирующей в двумерном В-режиме (Brightness Mode, «brightness» – яркость), который в режиме реального времени отображает анатомические структуры.

    Изображение при В-сканировании формируется в результате неодинакового проведения ультразвуковых сигналов через различные органы. Если ультразвук беспрепятственно проходит сквозь образование, не отражаясь от него, на дисплее это место будет выглядеть черным («эхопрозрачным»). Если структура умеренно поглощает эховолны и частично их отражает, она будет иметь среднюю эхогенность и отображаться в оттенках серого. Если объект полностью отражает ультразвуковые сигналы, то на мониторе будет визуализироваться только его граница в виде гиперэхогенной линии белого цвета. Осмотреть более глубокие структуры невозможно.

    Современные ультразвуковые аппараты могут регистрировать до 1024 градаций серого цвета, благодаря чему можно разграничить анатомические структуры, даже незначительно отличающиеся друг от друга по акустическому сопротивлению.

    13.jpg

    Рис.1. Щитовидная железа, В-режим.

    Для В-сканирования применяются датчики, функционирующие в следующих частотных диапазонах:

    • конвексные; (2D — 2,5-7,5 МГц, 3D/4D — 3,5-6,5 МГц) и микроконвексные (имеют меньшую апертуру);
    14.jpg
    • линейные; (2D — 2,5-12 МГц, 3D/4D — 7,5-11 МГц)
    15.jpg
    • секторные фазированные (2-7,5 МГц);
    18.jpg
    • специальные (внутриполостные 3,5-11,5 МГц, чрезпищеводный датчик 3-10 МГц, CW-датчик 2-8 МГц).
    20.jpg

    D-режим (допплерография)

    Допплерография используется для неинвазивного изучения характеристик движения тканей и жидкостей в организме человека. Наибольшей информативностью этот формат сканирования обладает в диагностике сердечно-сосудистой и акушерско-гинекологической патологии.

    Принцип работы режима основан на эффекте Доплера — физическом явлении, представляющем собой изменение частоты отраженного сигнала в зависимости от скорости движения изучаемого объекта. Частота увеличивается с приближением к датчику и снижается при удалении от него. В роли объектов, отражающих эховолны, обычно выступают эритроциты.

    Благодаря D-режиму и его разновидностям можно исследовать основные параметры кровотока (направление, скорость, ламинарность), оценить степень васкуляризации патологического очага.

    Сканирование, одновременно сочетающее одну из доплеровских методик и визуализацию в В-режиме, называется дуплексным. Оно позволяет получить комплексную информацию об анатомии сосуда (структуре его стенок, диаметре просвета), определить качественные и количественные характеристики гемодинамики. Кровоток, направленный к датчику, картируется оттенками красного цвета, от датчика — в синей цветовой палитре. Турбулентный кровоток отображается в сине-желто-зеленых тонах.

    Триплексное сканирование — сочетание В-режима с двумя допплеровскими режимами (к примеру, спектральным и цветовым).

    21.jpg

    Рис.2. Почка в режимах CFI и PW.

    Для допплеровских методик применяются различные виды датчиков.

    Изучаемая область

    Вид датчика

    Рабочая частота, МГц

    Шейные сосуды

    Линейный (38 мм)

    5,0-7,5 — 10,0

    Дуга аорты, подключичные сосуды

    Секторный (либо небольшой конвексный)

    3,5

    Плечевые, бедренные сосуды

    Линейный

    4,0-5,0 — 7,50

    Сосуды предплечья Линейный

    5,0-7,5 — 10,0


    Режим CFI (Color Doppler Imaging, ЦДК, цветовое допплеровское картирование)

    Цветовой доплеровский режим позволяет анализировать характеристики кровотока не только в формате графика на осях, но и в виде цветной схемы. На ней красным цветом выделяются потоки крови, идущие по направлению к датчику, а синим — в противоположную от него сторону. Насыщенность оттенка свидетельствует о скорости движения эритроцитов: чем она ниже, тем ярче изображение.

    23.jpg

    Рис.3. Пуповина плода в режиме ЦДК + LumiFlow (программное обеспечение, устанавливаемое в ультразвуковом аппарате высокого разрешения).

    Поскольку исследование в режиме CFI на большой области обладает ограниченной информативностью, спектральная доплерография предоставляет более детальные данные о небольшом участке, оба режима дополняют друг друга и в практической работе применяются совместно.

    Режим PW (Pulsed Wave, спектральный, или импульсно-волновой)

    В данном режиме ультразвук испускается сериями им­пульсов, которые, отразившись от эритроцитов, последовательно принимаются этим же датчиком. Также имеется воз­можность избирательного измерения скорости кровотока в отдельном сосуде.

    Минусами PW-доплерографии являются невозможность исследования высоких скоростей потока в сосу­дах, расположенных на большой глубине, и вероятность искажения спектра скоростей течения жидкости, когда высокоскоростной кровоток ошибочно отображается как низко­скоростной.

    28.jpg

    Рис.4. Сердце плода в PW-режиме.

    Режим CW (Continuous Wave Doppler, непрерывный, или постоянно волновой доплер)

    Используется для количественной оценки кровотока в сосудах c высокоскоростными потоками. В постоянно-волновом режиме излучение происхо­дит постоянно, при этом отраженный сигнал принимается независимо от того, когда он был послан. Скорость потоков крови измеряется весьма точно, однако при этом отсутствует пространственное разрешение, и все движения по ходу лу­ча регистрируются одновременно.

    30.jpg

    Режим TD (TSI, Tissue Velocity Imaging, тканевый)

    Режим TSI используется для регистрации движения тканей (в основном миокарда) посредством отображения на двухмерной картине пространственного распределения скоростей движения отдельных элементов тканей. Направленность движения картируется в оттенках синего и красного аналогично ЦДК, благодаря этому можно визуализировать скрытые зоны нарушения локальной сократимости.

    Однако в отличие от CFI-режима, в котором посредством фильтров игнорируются эхо-сигналы от стенок сердца и сосудов, при TD-сканировании регистрируется только движение тканей, данные о кровотоке исключаются.

    31.jpg

    Рис.5. Сердце в режиме TDI.

    Основные режимы тканевого доплера:

    ·      цветовой двухмерный;

    ·      импульсно-волновой;

    ·      цветной М-модальный;

    ·      режимы постпроцессинговой количественной обработки двухмерных цветовых допплеровских данных.

    Режим PD (Power Doppler, энергетический)

               Является разновидностью ЦДК, однако обладает большей чувствительностью к присутствию кровотока, чем цветовой доплер. Принцип работы PD-сканирования основан на анализе амплитуд всех эхосигналов допплеровского спектра, отражающих плотность эритроцитов в заданном объеме. Оттенки цвета (от темно-оранжевого к желтому) кодируют интенсивность эхосигнала.

    Диагностическая ценность энергетической допплерографии состоит в возможности оценки васкуляризации органов и патологических участков. Методика не несет информации о средней скорости кровотока в отдельных элементах изображения, а регистрирует сам факт наличия кровоснабжения.

    65.jpg

    Рис.6. Плацента, энергетический доплер и 3D-режим.

    Режим 3D/4D

    Технология объемного сканирования позволяет исследовать пространственное местонахождение объектов в различных проекциях в режиме «замораживания» (3D static) и реального времени (4D). Такая возможность достигается путем совмещения большого количества плоских двумерных изображений, зафиксированных с различных сторон. Наибольшее распространение эхография в 3D и 4D получила в акушерстве и гинекологии.

    Для данного типа сканирования применяются объемные датчики. В зависимости от цели обследования излучатели в объемных насадках могут быть линейными, конвексными или фазированными.

    66.jpg

    Рис.7. Лицо плода в 3D-режиме (объемный датчик 1-8 МГц).

    Специалисту УЗИ диагностики необходимо уметь работать со всеми режимами УЗИ сканирования, начиная от самых простых и заканчивая сложными трехмерными. Современные ультразвуковые системы оборудованы базовым комплектом датчиков и программного обеспечения, что позволяет справляться с большинством повседневных диагностических задач. Модели более высокого класса имеют программные опции, позволяющие улучшить качество визуализации. Однако решающее слово в интерпретации данных все равно остается за сонографистом, который должен принимать во внимание все нюансы получения изображений.


    Список литературы

    1.    Ультразвук в медицине: учебное пособие / А.В. Халиуллина, Б.И. Хайрутдинов; под ред. А.В. Аганова. – Казань: Издательство Казанского университета, 2022. – 116 с.

    2.    Ультразвуковая диагностика. Практическое руководство / Гюнтер Шмидт; пер. с англ.; под общ. ред. проф. А.В.Зубарева. – 2-е изд. – М.: МЕДпресс-информ, 2014. – 560 с.: ил.

    3.    Линденбратен Л.Д., Королюк И.П. Медицинская радиология (основы лучевой диагностики и лучевой терапии): Учебник. – 2-е издание, переработанное и дополненное. Издательство Медицина, 2000. – 672 стр.

    Дополнительно

    Дополнительная вкладка, для размещения информации о статьях, доставке или любого другого важного контента. Поможет вам ответить на интересующие покупателя вопросы и развеять его сомнения в покупке. Используйте её по своему усмотрению.

    Вы можете убрать её или вернуть обратно, изменив одну галочку в настройках компонента. Очень удобно.

    • Комментарии
    Загрузка комментариев...
    Назад к списку
    • Все публикации 57
      • Интервью 4
      • Оборудование 12
      • Опции 16
      • Про клиники 4
      • Сервис 21
    Подпишитесь на рассылку наших новостей и акций
    Подписаться
    Подписаться
    на новости и акции
    Связаться с нами
    +7 (499) 495-48-21
    +7 (499) 495-48-21
    E-mail
    info@medford.ru
    Адрес
    • г. Москва, Ленинский пр-т, д.146
    • г. Екатеринбург ул. Малышева 51, офис 1907
    • г. Махачкала проспект Имама Шамиля 34г
    Режим работы
    Пн - Пт: с 9:00 до 19:00
    info@medford.ru
    • г. Москва, Ленинский пр-т, д.146
    • г. Екатеринбург ул. Малышева 51, офис 1907
    • г. Махачкала проспект Имама Шамиля 34г
    Категории
    Каталог
    Акции
    Бренды
    Сервис
    Оснащение медицинского кабинета
    Компания
    О компании
    Новости
    Отзывы
    Карьера
    Лицензии
    Реквизиты
    Информация
    Кейсы
    Статьи
    Новости
    Отзывы
    Помощь
    Условия оплаты
    Условия доставки
    Гарантия на товар
    Вопрос-ответ
    © 2026 Medford.ru
    Конфиденциальность
    Оферта
    Главная Каталог 0 Корзина 0 Избранные Кабинет 0 Сравнение Акции Контакты Услуги Бренды Отзывы Компания Лицензии Документы Реквизиты Блог Обзоры